Portugal’s Digital Nomad Visa: An Informative Guide
Portugal, with its captivating coastlines, historic towns, and vibrant culture, has emerged as a haven for digital nomads worldwide. The country's Digital Nomad Visa...
Essential Tips for Maintaining the Health of Your Home’s Gutters
Understanding the Critical Role of Gutters in Home Protection
Gutters may not be the most glamorous feature of a home, but their function is essential....
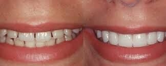
A Quick Look into Cosmetic Dentistry to Understand Who Needs This and Why!
Everyone knows cosmetic dentistry involves aesthetic enhancement of the teeth and gums. This dental health field emphasizes maintaining oral hygiene through daily habits and...
Introduction to Massage Therapy: Benefits and Techniques Explained
Massage therapy is a practice rooted in the belief that manual manipulation of the body's muscles and soft tissues can promote health and well-being....
Balancing Act: Finding the Right Mix of Sitting and Standing in the Workplace
In the quest for better health and productivity in the modern workplace, desks have emerged as a popular solution. These versatile workstations allow users...
Gundry MD Olive Oil: Unveiling the Truth – In-Depth Reviews, Benefits, and Consumer Experiences
Introduction: A Closer Look at Gundry MD Olive Oil
Gundry MD Olive Oil is not just your ordinary cooking oil - it's a powerhouse of...
History and Culture of Northern Italy: Uncovering the Rich Heritage of the Region
From ancient civilizations to modern marvels, Northern Italy has long captivated travelers and historians alike with its rich tapestry of art, architecture, and cultural...
Exploring Rewards with Visa Credit Cards and Financial Solutions
In the fast-paced world of personal finance, credit cards have become more than just convenient payment tools – they're gateways to a realm of...
Fueling Your Health Journey: Discovering Diabetes Food Delivery Options
For individuals dealing with diabetes, it is essential to uphold a well-rounded and healthy diet to effectively regulate blood sugar levels and enhance overall...
Expressive Arts Therapy: Using Music, Dance, Drama, and Visual Arts in Drug Rehabilitation
Introduction
When it comes to recovering from substance abuse and addiction, sometimes just talking it out isn't quite enough. The path to true healing often...




















